入れ歯については、
カワラダデンチャーの
「川原田先生」に師事
「入れ歯」を求める患者さんは多い。しかし、患者さんを満足させる入れ歯は少ない。
私は、究極の入れ歯はないかと探しました。そこでたどり着いたのが「カワラダデンチャー」でした。
リンゴも、おせんべいも、しっかり噛める入れ歯。それがカワラダデンチャーです。
入れ歯で悩まれている方、ぜひご相談ください。


本当に
治ってよかった。
あなたの「本当」を、ご相談ください。


いまの日本の歯科治療は、患者さん不在です。
私の先生は、患者さんです。
当院にいらっしゃる患者さんの
お口を診させていただくと
ほとんどの患者さんは、治っていませんね
私は、治せます。
治療が終わると、みなさん満足して帰って行かれます。
特別なことはしていません。
普通なことをやっているだけです。
患者さんお一人おひとりと誠実に向き合ってきたからこそ、
いまの私があります。




先生、
なんとか
してください。
患者さんに
寄り添う治療
を行います。






いざ、歯科医師を前にすると、
思っていることの半分も言えない。
というより、思っていることと反対のことを話してしまった。
医師に誘導されて、うなずいてしまった。
そうして、治療が終わって、家に帰って後悔。
だから、「本当に」治っていないのです。



歯がない部分に歯を入れる際、入れ歯か、インプラントか。選択肢はほぼ2択。
入れ歯でも、いろんな入れ歯がある。インプラントも、オールオン4などもあります。
結局は、患者さんの「お口の状態」に適応したものを、
プロである歯科医師が提案できているかという話なのです。
「適応」が間違っていたら、「本当に」治るわけがないのですから。


「入れ歯」がダメなんじゃない。
歯科医師が、良い「入れ歯」を提供できてないだけなのです。
入れ歯を求める患者さんは多い、むしろ増えているのに、
患者さんが満足できる「入れ歯」を提供できていない。
北海道でも、日本でも、世界でも、その傾向にあります。


インプラントは怖いと感じてる方は多いと思います。ご安心ください。
当院のドクター北山は、年間何百症例と手がけていますので、
手技は一流です。上手いから速い。速いから痛くもない。


どんな綺麗ごとを並べても、
実際の治療が綺麗でなければ意味がないです。
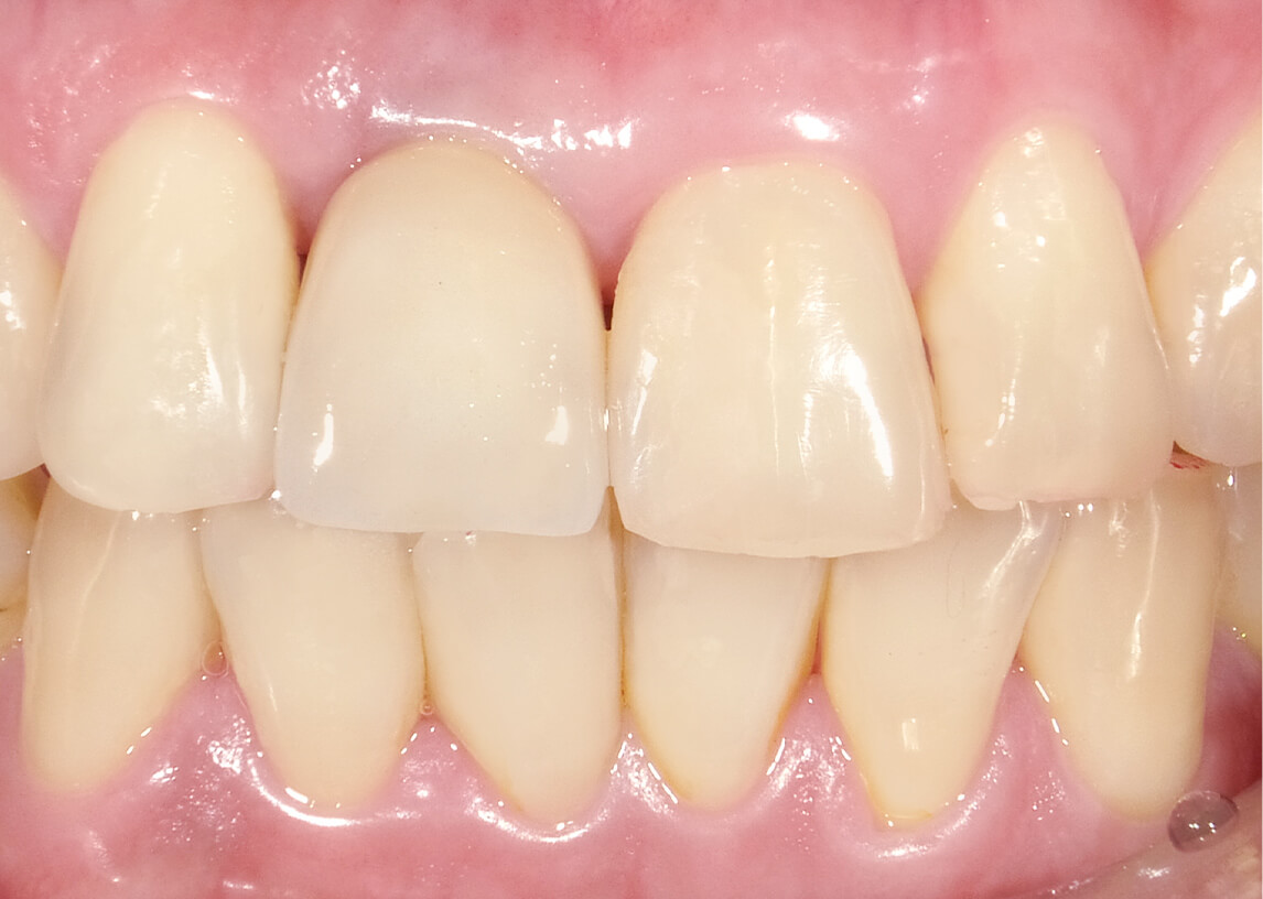
「症例写真」をじっくりご確認ください。
インプラント

入れ歯



最大の特長は、
「入れ歯」「インプラント」どちらも高度な治療ができること。
患者さんのお口の状態、お考え、ご予算に合わせて、
最適な治療をご提供できます。
「入れ歯」を求める患者さんは多い。しかし、患者さんを満足させる入れ歯は少ない。
私は、究極の入れ歯はないかと探しました。そこでたどり着いたのが「カワラダデンチャー」でした。
リンゴも、おせんべいも、しっかり噛める入れ歯。それがカワラダデンチャーです。
入れ歯で悩まれている方、ぜひご相談ください。

FIDIは、「噛んでをもっと幸せに」を合言葉に
患者さん中心のインプラントを行っているグループです。
その指針は「4Sコンセプト」。
Short(短期間)、Simple(シンプル)、Small(最小限)、Safe(安全)です。
とにかく「患者さんファースト」のインプラント治療を追求しています。


ドクターのスキルは、一流でも、スタッフが一流でなければ、
一流の治療は患者さんに提供できません。
北山デンタルに、電話をかける。受付する。治療のアシスト。カウンセリング。
すべてが患者さんの不安、不満につながります。
それらが100%でなければ、「本当に治る」ということにならないと思っています。







