医療法人社団康創会 北山デンタルクリニックジャパンインプラント

キービジュアル
インプラント歴30年以上/4500症例の実績

噛めるあきらめない
インプラント治療
絶対自信があります

5~10年の長期保証あり
◆ 初回カウンセリング無料 ◆

自分の歯のように「噛める」インプラント

インプラント治療とは、失った歯を「人工歯」で補う治療法の一つです。
その仕組みは、まず歯茎に穴を空け、「フィクスチャー」(インプラント体/人工歯根)を埋めます。 これは歯の根っこになるものです。 次にそのフィクスチャーに「アバットメント」を取り付けます。 アバットメントは、フィクスチャーと人工歯をつなぐ、土台のようなもの。アバットメントをつけたら、最後に「人工歯」を取り付けます。人工歯は「上部構造」とも呼ばれます。
このように、インプラントは歯茎に穴を空けて人工歯を植えることで、しっかりと固定されるため、よく「噛める」治療法という大きな特徴があります。

コラムチタンはインプラントと相性抜群!

インプラントのほとんどはチタン製。なぜなら、チタンは骨と直接結合する性質をもっており、あごにしっかり固定されるからです!
また、「アレルギー反応が起こりにくい」「強度と耐久性が高い」というメリットもあり、長期にわたって使用することができます。
「チタン」は現在のインプラント治療には欠かせない素材なのです。

インプラントはどれくらい長持ちする?

インプラントは、定期的なケアを行うことで10年以上使うことができます。過去にはノーベルバイオケア社のインプラントが、40年以上機能した事例もあります。
長く利用するためにも、しっかりとしたケアが欠かせません

特に「インプラント周囲炎」には注意が必要です。歯茎の腫れや出血に加えてインプラント体を支える骨が溶けてしまう、歯周病のような症状が出ます。最悪、インプラントが外れてしまうこともあるために注意が必要です。
当院では、これらの予防に関しても担当の衛生士が丁寧にサポートいたしますのでご安心ください。

こんな方にはインプラントがおすすめ

当院では、次のような患者さんにインプラント治療を提案しています。

見た目も機能性も重視したい方

インプラントは天然歯と比べて、見た目も噛み心地もほぼ違和感がありません
※人工歯を造る素材選びによって差が出ます。

入れ歯やブリッジ治療に抵抗のある方

インプラントであれば、入れ歯のようにズレたり外れたりする心配がなく、ブリッジ治療のように周囲の健康な歯を削る必要もありません

あごの骨が十分に確保できる方

インプラント治療には、歯茎の下の地盤となるあごの骨に十分な骨量が必要です。しかし、あごの骨が少ない方でも当院であれば「骨造成」と呼ばれる治療を行い、インプラントが可能になるケースがあります。

日々のお口のケアを実践できる方

治療終了後も、日ごろの歯磨きや歯科医院での定期メンテナンスは欠かせません。そうすることで、インプラントは10年以上使用することができます。

インプラント/入れ歯/ブリッジ の比較

失った歯の治療法には、インプラント以外に「入れ歯」や「ブリッジ」も一般的です。それぞれの特徴をまとめて、インプラントのメリット・デメリットについてご説明します。
インプラント
入れ歯
ブリッジ
見た目の美しさ
噛みやすさ
装着時の違和感
なり
あり
なし
お手入れのしやすさ
周りの歯への影響
耐久性
費用
手術の必要性
必要
不要
不要

インプラントのメリット

見た目の美しさ … 色や形が選べて、ごく自然な見た目も可能
噛みやすさ … 本物の歯にかなり近い噛み心地
装着時の違和感 … あごにしっかり定着し、嘔吐反射やズレ、痛みがない
お手入れのしやすさ … 普通の歯ブラシやフロスでケアできる
周りの歯への影響 … 周囲の健康な歯を削る必要がない
耐久性 … 適切なメンテナンスを行えば10年以上の使用が可能

インプラントのデメリット

費用 … 保険適用外となり、ほかの治療に比べると高額
手術の必要性 …インプラントを埋め込む外科手術が必須

当院のインプラント治療体制

インプラントのハードルを下げる3つの特長

当院のインプラント治療には、患者さんの体の負担を最小限に抑えるための、大きく3つの特長があります。
  • 切らない・縫わない・腫れない
  • 手術当日から“噛める”
  • 「睡眠無痛治療(静脈内鎮静法)」に対応

切らない・縫わない・腫れない「フラップレスインプラント」

「インプラント」と聞くと大手術を想像する人も多いですが、当院では「フラップレス」という効率的かつ身体への負担が少ない手術を採用しています。

フラップレス手術とは、まず「歯肉パンチ」という円筒状の刃物を使って、歯を入れる部分の歯茎に円形の穴を空けます。そこからドリルで骨にまで穴を伸ばしてインプラント体を埋め込むという手法です。
メスで歯茎を切開する従来の方法よりも痛みや腫れ、出血を大幅に抑えることができ、縫合も必要ありません。“親知らずの抜歯より負担がない”とも言われる治療法です。

その日から噛める「抜歯即時荷重インプラント」

一般的なインプラント治療では、抜歯をした後に一定期間を空けてインプラントを埋め込み、さらにそこから人工歯が入るまで3~6カ月ほどがかかってしまいます。
しかし、当院では抜歯跡の穴をそのまま利用してインプラントを埋め込み、手術当日に仮歯の装着まで行う「抜歯即時荷重」で対応しておりますので、患者さんには“歯がない期間”がありません
また、仮歯の段階で最終的な人工歯に近い品質のものをご用意しているので、その日のうちから快適に食事をしていただくことができます。これは当院の大きな強みの一つです。
ただし、対応できかねるケースもありますのでまずはご相談ください。

眠っている間に終わる「睡眠無痛治療」

手術への恐怖心が強い方には「睡眠無痛治療(静脈内鎮静法)」をご提案しています。
点滴で鎮静薬を注入すると、数分のうちに睡眠状態になります。その間に手術を受けてもらうことで、痛み、音、振動などの記憶はほとんどありません。多くの患者さんから「いつの間にか手術が終わっていた」という感想をいただいております。
当院に在籍する専門の麻酔医が担当いたしますのでご安心ください。

安心できるインプラント治療のために

当院では安全で精度の高いインプラント治療を提供するために、ほかにも次のようなことに取り組んでいます。

信頼のメーカーから選んで提案

世界には多くインプラントメーカーがあり、その中から信頼できるメーカーを選ぶことは重要です。
当院では、科学的根拠や論文の数が圧倒的に多いアストラテック」のインプラントを主に使用しています。患者さんの症例や希望に合わせて、世界一のシェアを誇る「ストローマン」をはじめ「ノーベルバイオケア」「京セラ」「バイオメット」「ZIMMER」といった国内外の優秀なメーカーにも対応しています。

精密機器/器具を使用した治療

当院では以下のような精密機器や器具を利用し、インプラント手術の精度を高めています。
CT
従来のレントゲンと異なり、歯茎の中の骨の密度や形を立体的に写し出し、より精密な診査・診断が可能になります。インプラント治療のみならず、根管治療、親知らず抜歯など、あらゆる治療で活用されています。
マイクロスコープ
治療部位を数十倍にも拡大して確認できる歯科用の精密機器です。肉眼やルーペでは見えないほど細かな歯の内部まで、クリアに映し出すことができます。こうした高精度の視認により、治療の仕上がりも格段に向上します。
シミュレーションソフト
CTで撮影した3Dデータを取り込み、手術の手順や埋め込みの角度、深さなどを綿密にシミュレーションすることで治療の精度を高めます。
インプラントガイド
CTとシミュレーションソフトを用いて得たデータをもとに、患者さんそれぞれのお口の状態に合わせて製作した「マウスピース型の補助器具」です。実際にインプラントを埋め込む位置や角度、深さを示すもので、オペ時間を短縮し、正確性が格段に向上します。

高い「骨造成」技術で骨不足の症例にも対応

インプラントを埋め込むための地盤となる歯茎の下の骨が少ないと、基本的には治療ができません。しかし、人工的に骨を増やす「骨造成」という処置に長けた当院であれば治療が可能になる場合があります。

骨造成にはいくつかの種類があります。
GBR法
最も一般的な方法で、人工的な骨補填材を骨の足りていない隙間に詰め、メンブレンと呼ばれる特殊な人工膜で覆って保護します。これらが骨の再生を促しつつ、やがて体内に吸収されながら骨と置き換わる仕組みです。
サイナスリフト(上顎洞挙上術)
上あごの奥歯部分にインプラントを埋める際に用います。頭蓋骨の目の下、鼻の横辺りには「上顎洞(サイナス)」という空洞があり、その底部分の粘膜(シュナイダー膜)の下に隙間を作って骨補填材を詰めることで、地盤となる骨に厚みを出す方法です。
ソケットリフト(サイナスリフトの簡易版)
サイナスリフトの簡易版のような方法で、インプラントを埋め込む穴から直接上顎洞の隙間に骨補填材を入れ込みます。比較的骨不足が深刻でない方はこちらで対応可能です。
スプリットクレスト法(リッジエクスパンジョン)
インプラントを埋める歯茎の中の骨が、深さに問題はないものの前後の厚みが足りない場合に有用です。該当箇所の骨にあえて割れ目を入れて、ゆっくり押し広げながらを作り、その割れ目にインプラントを埋め込みます。できた隙間には骨補填材を詰め、最終的に骨と置き換わることでインプラントを固定する仕組みです。
これらの「骨造成」はどれも高度な技術を要するため、信頼して頼れる歯科医院はそうそう見つかりません。当院ではこれまでに多くの経験と実績がありますので、もし他院で断られた方でも諦めずにご相談ください。

手厚いアフターケア

●充実の長期保証で安心
当院のインプラント保証は10年間の100%保証です。人工歯(上部構造)であれば3年間で100%、アバットメントは5年間の保証となっております。これだけ充実した保証内容は、治療結果に自信があるからこそです。

●担当の歯科衛生士が親身に対応
治療完了後は、歯周病と同じような症状を患う「インプラント周囲炎」という病気の予防が重要になってきます。
当院には、歯のメンテナンスや歯周病治療のプロである「歯科衛生士」が多数在籍し、患者さんごとに担当の歯科衛生士がつくことで、それぞれの事情に合わせた適切なアドバイスを行うことができます。

熟練したインプラントの専門家が担当

院長 北山 康則

実績

インプラント治療歴 30年以上
インプラント累計本数 4,500本以上

経歴

  • 1990年 北海道大学歯学部 卒業
  • 1996年 USCインプラントコースに参加
  • 2005年 スウェーデンイエテボリ大学研修
  • 2006年 スウェーデンハルムステッド病院研修
  • 2009年 アメリカペンシルバニア大学研修
  • 2012年 アメリカノースカロライナ大学研修
  • 2013年 ベルギーゲント大学研修
  • 2013年 ベルギールーベン大学研修
  • 2014年 アメリカAAED学会参加
  •  
  • 1990年4月 札幌市東区にて勤務医
  • 1994年4月 かえで歯科院長 就任
  • 2001年12月 北山デンタルクリニック 開業

著書

『噛める義歯に出会うと人生が変わる』
北山 康則 著
ぶらんとマガジン社 刊
定価1,320円(税込)
ISBN 9784904803103

メッセージ

当院では、なにより患者さんの目線になって寄り添い、基本に忠実な歯科治療をモットーにしています。特にインプラント治療におきましては、これまでに数多くの症例と向き合い、長年にわたって研鑽を積んでまいりました。
自信を持って対応いたしますので、他院では無理だと断られてしまった方でも、ぜひ一度当院までご相談にいらしてください。

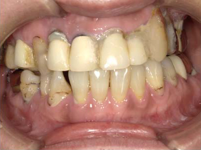
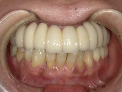
当院でインプラント治療した症例

CASE1

  • 治療前
  • 治療後

CASE2

  • 治療前
  • 治療後

CASE3

  • 治療前
  • 治療後

インプラント治療の流れ

①カウンセリング+検査+準備
カウンセリング後、レントゲン写真を撮り全体的な治療計画を立てます。お口の中の型を取り、噛み合わせを確認。手術後に装着する仮の歯をあらかじめ作製します。
②手術
抜歯が必要な場合は抜歯をします。その後インプラントを埋め込みます。麻酔をして行うため、痛みはほとんど感じません。
③休憩
インプラントを埋め込んだ後は、しばらく休憩します。
④仮歯の装着
インプラントを埋め込んだ数時間後には仮の歯の装着ができます。