医療法人社団康創会 北山デンタルクリニックジャパンインプラント

キービジュアル

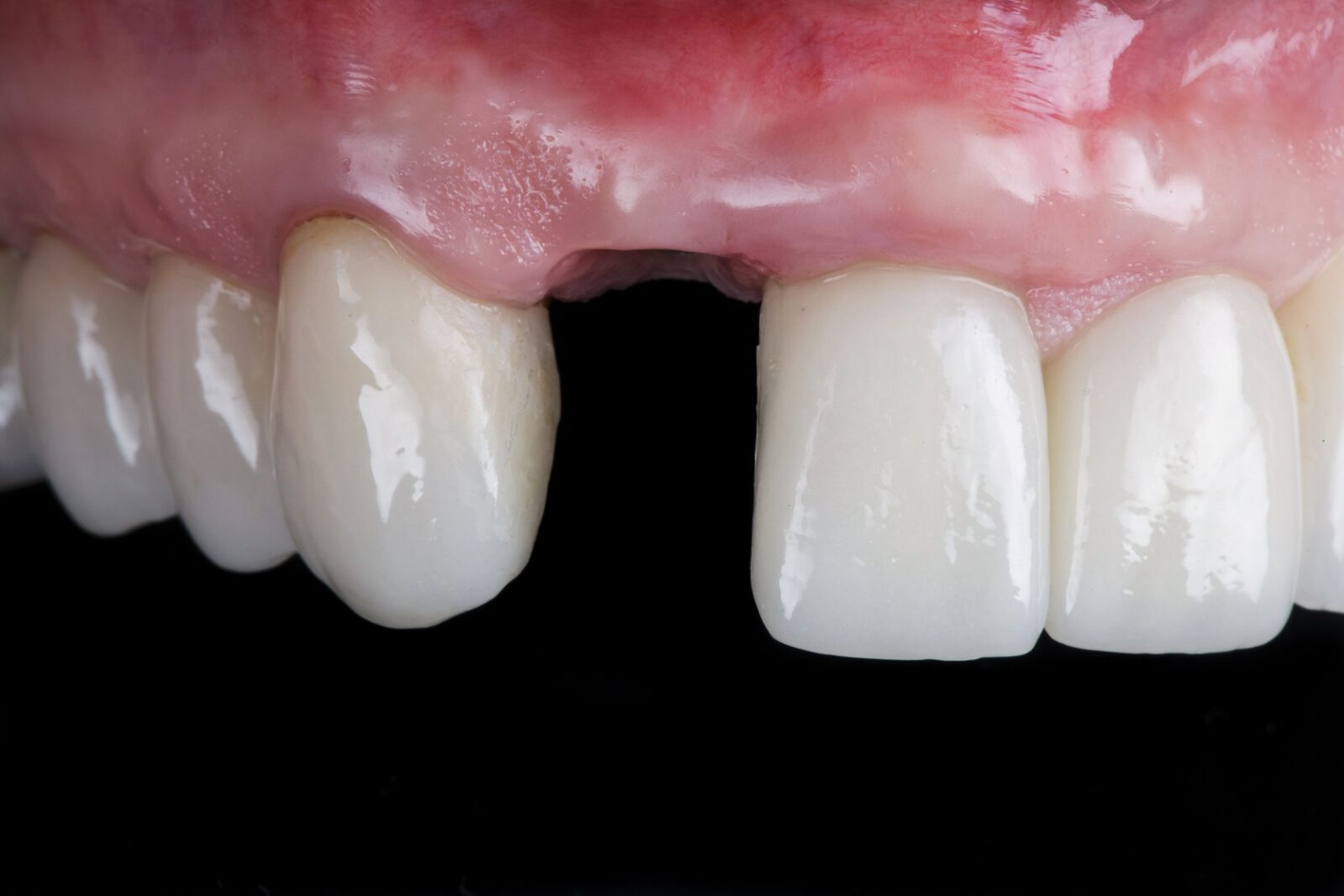
他院治療の
やり直し再治療
にも対応します

  • インプラントがグラつく、取れた
  • 噛み合わせに違和感がある
  • 見た目に満足できない
放っておくと危険かもしれません!
今すぐ当院にご相談ください

インプラントの異常を放置すると大きなリスクに

「オールオン4やインプラントを入れれば一生安心」と思われる方も少なくありません。けれども、残念ながらそれは間違っています。
オールオン4やインプラントといえども、決して万能ではないのです。
長く快適に使い続けるためには、適切な処置に加えて、定期的なメンテナンスが欠かせません。

インプラントが外れた嚙み合わせの不具合見栄えが悪い……
このような状態を放置すると、さらに悪化して、全身の健康に影響を及ぼすことになってしまいます。少しでも不調を感じるのであれば、早急に信頼できる歯科医院へ相談に行ってください。

インプラントの脱離

治療したはずが、その後インプラントが外れてしまうケースには次のような原因が考えられます。
治療そのものに問題があった
  • 歯周病などの基礎的な問題が未解決のまま
  • インプラントの埋め込みや人工歯の装着が不適切
  • 噛み合わせのバランスがきちんと整っていない
治療後の生活に問題があった
  • 自宅での歯みがきやケアが十分でない
  • 歯科医院での定期メンテナンスを怠っている
  • タバコやお酒などの生活習慣による影響
  • 糖尿病や心臓病、骨粗鬆症、重い歯周病など健康状態が悪い
インプラントが外れてしまう背景には、歯科医院側の対応に問題があることもあります。その場合のほとんどは「担当医の技術的な未熟さ」が要因です。
ですので、不具合を同じ医院で治そうとしても、結果的に同じトラブルが再発してしまうことも少なくありません。

患者さん側に要因があったとしても、実際は医院側にも責任があるといえます。
なぜなら、こうしたトラブルの多くは、歯科医院が十分な情報提供を行い、継続的にサポートしていれば未然に防げたケースだからです。

噛み合わせの不具合

噛み合わせの違和感は、時間が経つと大きなトラブルにつながることがあります。
噛み合わせが整っていない状態は、お口全体のバランスが崩れているサインです。特定の歯に負担が集中することで、将来的にその歯が使えなくなる可能性もあります。放っておくと、次のような問題を引き起こしかねません。
  • インプラントの破損
  • インプラントの脱離
  • インプラント周囲炎
  • 顎関節症の発症
オールオン4やインプラント治療では、噛み合わせの調整をきめ細かく行うことが重要です。しかし、この大切なステップを十分に実施していない歯科医院も少なからず存在します。
治療後に不具合が続くのであれば、その過程に問題があったのかもしれません。

また、治療が完了してしばらく経ってから違和感が出始めた場合でも、早めに歯科医院に相談することをおすすめします。噛み合わせの問題はさまざまなリスクにつながるため、速やかな対応が大切です。

見た目が悪化している

お口元の見た目が気になる」「インプラントのねじ部分が見えてきた」といった変化は、インプラントに何らかの問題が起きているサインです。
審美面だけでなく、噛む機能にも影響することがありますので、できるだけ早く歯科医院に診てもらいましょう。

また、見た目の変化に悩む患者さんの多くが、実は「インプラント周囲炎」を起こしていることがほとんどです。
これは歯周病と同じような症状をまねき、放置してしまうと最終的にインプラントが脱落してしまう危険もあります。
気になった時点で早めのご相談をおすすめします。

注目①口元が30歳若返って見える

オールオン4を入れると、シワほうれい線が目立たなくなり、お口元に自然なハリが生まれます。当院の目標は、インプラント治療で「お口元を30歳若返らせる」ことです。
お口元の美しさが整うと、お顔全体の印象も若々しく見えるようになります。歯の健康だけでなく、見た目も大切にしたい方は、ぜひお気軽にご相談ください。

注目②「セカンドオピニオン」もご利用ください

インプラント治療やオールオン4のことはもちろん、歯のお悩みに関するご相談はいつでも承っております。
また、「セカンドオピニオン」にも対応可能です。今の治療に少しでも困っていることがあれば、お気軽にご来院ください。