医療法人社団康創会 北山デンタルクリニックジャパンインプラント

キービジュアル

「痛い」「怖い」
「手術は嫌だ」
そんな方でも安心治療

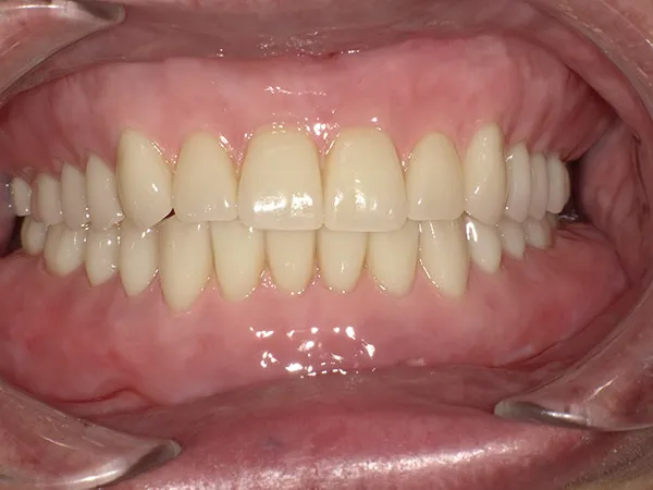
  • 治療前
  • 治療後
  • 起きたら終わっている「睡眠無痛治療」
  • 通院回数が少ない「短期集中治療」
  • 人目が気にならない「個室診療」
当院で治療の強要は一切ございません
ボロボロになってしまった歯でお悩みの方、
外科手術をしなくても「噛める」歯は取り戻せます。

「痛み」「恐怖」をやわらげる歯科治療

「人前で自然に笑えない」
「うまく話せず聞き返される」
「食事を心から楽しめない」


そんなお悩みを抱えている方は、実は少なくありません。
原因の多くは、虫歯歯周病を長期間そのままにしてしまったこと。しかし、「歯医者に行きたくても行けなかった」という背景がある方も多いのです。

たとえば…
●治療の痛みがつらかった
●説明がなく不安なまま進められた
●思いがけない高額な治療を勧められた

そんな経験が「もう歯医者は怖い」と感じさせ、結果的に治療から遠ざかってしまうことがあります。
私たちは、そうしたお気持ちを理解しながら、少しでも安心して受けていただけるように、痛みや不安に配慮したやさしい治療を心がけています。

また「手術は怖い」という方でも、当院ではインプラント入れ歯の両方を得意としているため、患者さんの要望に合わせた治療手段を選んでいただけるのも強みです。

ここからは、そのために行っている取り組みを、わかりやすくご紹介します。

「痛くない治療」の提案

患者さんのなかには、過去の治療で受けた「痛み」がトラウマとなっている方も多いです。しかし、それらは歯科医院の対応に問題があった可能性があります。
当院では、痛みや不快感を取り除くために、下記のような取り組みをしています。

眠っている間に終わる「睡眠無痛治療」

「歯科治療が怖い」「痛みが不安」――そんな方のために、当院では「睡眠無痛治療」をご用意しています。
これは「静脈内鎮静法」とも呼ばれる方法で、点滴から鎮静薬を投与し、ほとんど意識のないリラックスした状態で治療を受けられます

処置中の痛みや音、振動などを感じにくく、多くの患者さんが「眠っている間に終わった」とお話しされます。嘔吐反射が強い方にも適しています。
また、当院には麻酔の専門医師が在籍しておりますので、安心してお任せください。
「笑気ガス」の活用
当院では、安心して治療を受けていただけるよう「笑気ガス」も取り入れています。
鼻から吸入することで気持ちが落ち着き、治療に伴う緊張や不安がやわらいでいきます。やさしく心地よいリラックス状態のまま、治療を受けていただけます。

注射の痛みを感じさせない麻酔

治療の痛みを感じさせないための麻酔が、「その麻酔注射が痛い」のでは本末転倒です。当院では、注射による痛みを抑えるために次のような対策を行っています。
① 表面麻酔を塗る
歯ぐきの注射を打つポイントに麻酔を塗ることで、針が刺さる痛みを軽減します。
② 極細針を使用する
針は細ければ細いほど、痛みを感じにくいです。そのため、通常の注射針よりかなり細い針を使用します。
③ 注射するポイントを見極める
同じ歯ぐきでも、場所によって痛みの感じやすさは異なります。経験豊富なスタッフが痛み小さいポイントを見極めて注射をします。

注目!嫌な音を出さない「5倍速コントラ」

歯医者で苦手な方にとって、歯を削るときの「キーン」という高音も大きな要因の一つだと思います。
この音は、一般的に使用される「タービン」と呼ばれるドリルによるものです。

当院では、その代わりに「5倍速コントラ」という器具を導入しています。タービンに比べて振動が少なく、作動音も大きく抑えられているのが大きな特長です。
音や振動による不快感は、大人だけでなくお子さまにとっても負担になり得ます。

治療中の緊張やストレスを和らげたいとお考えの方は、どうぞお気軽にお声がけください。

短期間でも高精度な入れ歯治療

当院が提供する「カワラダデンチャー」は、まるで自分の歯のように噛める入れ歯です。本来は、微調整を繰り返し丁寧に作製します。
インプラント治療と異なり外科手術を必要としないため、手術が恐ろしいという方でも問題ありません。

また、冠婚葬祭などで早急に必要になったり、歯医者への苦手意識からなるべく通院回数を減らしたい方などのため、当院では短期間で入れ歯をご用意できる「スピードデンチャー」プランをご案内しています。

ご予約時にお申し出いただければ、総入れ歯・部分入れ歯を問わず、初診から最短で翌日には仮の入れ歯をお渡しすることが可能です。仮の入れ歯であっても十分に噛むことができる高品質なものをご提供しておりますので、ご安心ください。

「個室診療室」でプライバシーに配慮

歯のお悩みは、人には打ち明けにくい繊細なものだと思います。
当院では、安心してお話しいただけるように、完全個室の診療室をご用意しています。治療中の会話や処置内容が外に聞こえる心配はありません

どんなに小さなお悩みでも気兼ねなくご相談いただけるよう、リラックスできる環境づくりを心がけています。

説明責任をしっかり果たすから安心

当院では、治療の方針を決める際に、患者さんのご希望を第一に考えています
歯科医師として専門的な立場から、患者さんそれぞれの状態に最適と思われる治療方法をご提案します。しかし、最終的に選ぶのは患者さんご自身です。こちらから治療を無理強いすることは絶対にありません
それぞれの方法について、必要性効果をわかりやすくご説明し、十分にご理解いただいたうえで治療を進めていきます。
もし不明点や不安なことがあれば、どんなに小さなことでも気軽にお尋ねください。ご納得いただけるまで丁寧にお答えいたします。